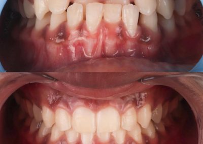
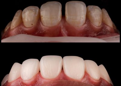
Our Patients
Client Testimonials
Schedule Appointment
Our clinic offers comprehensive solutions for all of your dental needs.
Award Winning Dentist
Dr. Tarun Mittoo
We are proud to have the opportunity to give you
the smile of your dreams
Address
31 A Green Avenue
Temple Lane, Near Puda Colony
Amritsar 143001
+91 9888319171
info@drmittodentistry.com
Open Time
Mon-Sat : 10am to 8pm
Sun: 10am to 2pm
